Врачи Днепра уже не раз доказывали свой профессионализм. Именно в нашем городе проводят самые сложные и самые уникальные операции, которые возвращают к жизни и дарят здоровье пациентам даже в наиболее критических ситуациях.
Так, в больнице Руднева провели современное лечение для ребенка с инвалидностью. Об этом сообщает Информатор со слов заведующего ортопедо-травматологическим отделением Дмитрия Ершова.
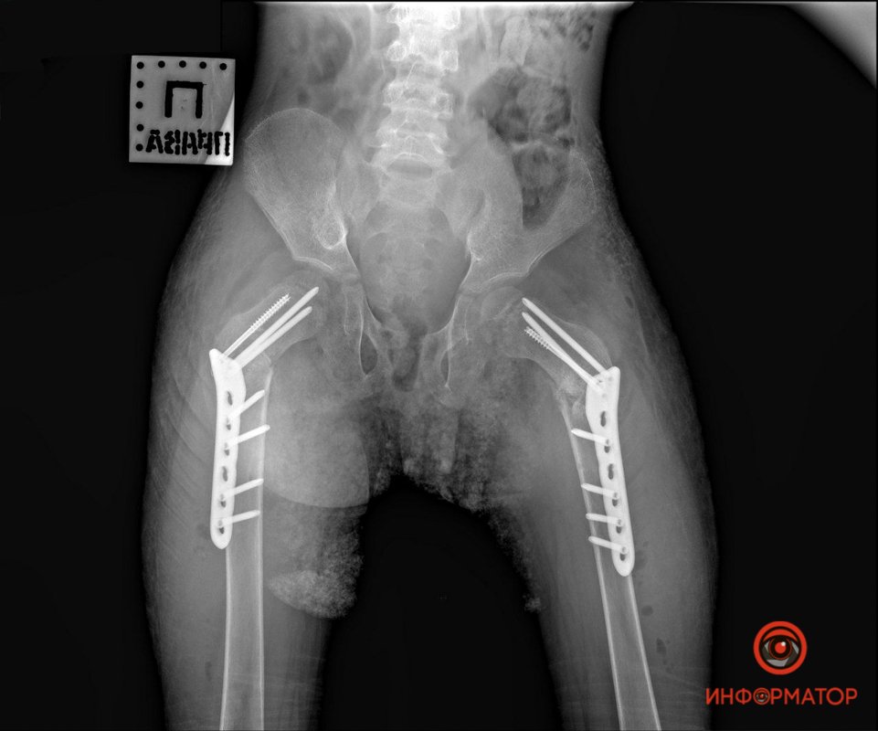
"9 мая к нам доставили мальчика с задержкой в развитии из Никополя. У ребенка случился эпилептический приступ, когда он сидел в "позе лотоса". Как следствие - сломал 2 шейки бедренной кости. Его прооперировали в пятницу по современной методике (открытая репозиция, остеосинтез LCP- пластиной) - сразу выполнено лечение двух бедер. Мальчик уже в палате, без гипсовых повязок, во вторник поедет домой", - рассказал Дмитрий Ершов.
Врач добавил, что обычно такие повреждения лечатся длительным скелетным вытяжением, после чего 2-3 месяца пациент должен пребывать в гипсовой повязке. Малыш же получил современное хирургическое лечение, после которого ему понадобится лишь реабилитация для возвращения способности к ходьбе. Случай такого лечения - крайне редкий, в мировой литературе есть лишь несколько подобных примеров, отмечает врач.
Ранее мы писали о том, что врачи больницы Мечникова смогли выходить младенца, который родился раньше срока. Малыш появился на свет совсем крошечным: его вес был 1,2 кг, а рост — 40 см. Также писали о том, что в больнице Мечникова спасли бойца с тяжелейшим ранением головы.



Маргарита Турчак