15-летняя девочка жевала обложку для тетради и случайно вдохнула маленький кусочек от нее. Несколько недель она страдала от кашля и затрудненного дыхания.
К счастью, днепровские врачи смогли ей помочь. Об этом сообщает Информатор со ссылкой на эндоскописта Днепропетровской областной детской больницы Сергея Щудро.
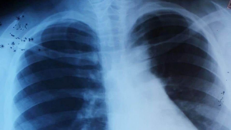
Девочка лечилась по месту жительства, но ничего не помогало. Ее направили в эндоскопический центр для обследования. Доктора заметили у нее проводные хрипы по всей поверхности легких. Они провели бронхоскопию под общим обезболиванием и достали сторонний предмет.
Ранее мы сообщали об уникальной операции по удалению опухоли у новорожденного ребенка, которую провели в детской областной больнице. Читайте также о том, что пятилетний мальчик отравился клофелином: ребенок в реанимации.

Олег Бильдин