В областную детскую клиническую больницу на Космической доставили 2-летнего ребенка с рвотой. Оказалось, малыш проглотил несколько батареек.
Врачам удалось извлечь инородные тела из желудка пациента. Об этом сообщает Информатор, ссылаясь на детский эндоскопический центр.
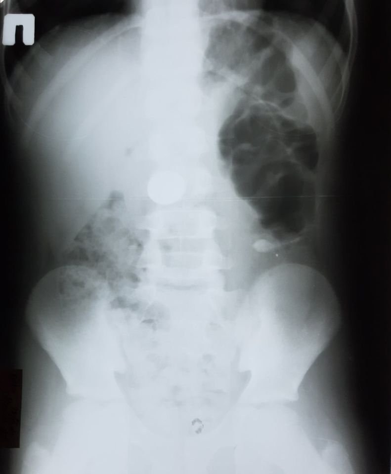
18 ноября в клинику обратились родители 2-летнего ребенка, из-за того, что в рвотных массах малыша обнаружили батарейку. После рентгенограммы стало понятно, что ребенок съел не одну, а целых 4 батарейки. Так, еще две из них находились в желудке, одна - в кишечнике. Две батарейки были удалены из желудка под седацией (введение пациента в состояние полудремы при помощи “
20 ноября в это же отделение попал 10-летний ребенок с монетой в желудке. Предмет также извлекли под седацией. Ребенок в безопасности.


Платон Бережной